ارتودنسی نامرئی
ارتودنسی شفاف
درمان ارتودنسی یکی از محبوبترین درمانهای حوزه دندانپزشکی است و تقاضا برای انجام این درمان همواره زیاد بوده است. علت این موضوع این است که بیشتر ما دندان های صاف و مرتبی نداریم و دندان هایمان نیاز به اصلاح دارند.اما بسیاری از افراد علی رغم نیاز به درمان ارتودنسی ، اقدامی انجام نمی دهند چون دوست ندارند با دندانهای سیم کشی بیرون بروند و دیگران آنها را با لبخند فلزی ببینند و یا هنگام صحبت کردن در موقعیتهای حساسی مانند سمینار یا مصاحبه های شغلی نتوانند کلمات را درست ادا کنند. متاسفانه در این مواقع خیلی از افراد به اشتباه مستقیما سراغ درمانهای زیبایی مانند کامپوزیت میروند و حاضرند با تراشیدن دندانها و … فقط دندانهایی زیبا داشته باشند درحالی که ارتودنسی شفاف یا همان الاینرها راه حلی برای این موضوع میباشد.
در درمان ارتودنسی نامرئی دیگر از براکت فلزی استفاده نمی شود و شما نگرانی از بابت سیم و براکت فلزی چسبیده به دندان ها ندارید.
یکی از معروفترین روشهای ارتودنسی نامرئی، استفاده از پلاکهای شفاف است. این روش که با نامهایی مانند ارتودنسی بدون سیم یا ارتودنسی با الاینرهای شفاف شناخته میشود، توسط برخی به نام اینویزیلاین نیز معروف است؛ چرا که Invisalign اولین برندی بود که این نوع پلاکها را تولید کرد.
در این روش، از پلاکهای شفاف و نامرئی که ظاهری شبیه به محافظ دندان شبانه (نایت گارد) دارند، برای مرتب کردن دندانها استفاده میشود.
ارتودنسی نامرئی یا الاینر شفاف چیست؟
ارتودنسی نامرئی در رشت
در ارتودنسی نامرئی از سیستمی برای حرکت دادن دندان ها استفاده می شود که بر خلاف براکت معمولی جلب توجه نمی کند و دیگران به سختی متوجه آن می شوند. ارتودنسی نامرئی شامل چند روش ارتودنسی است که محبوب ترین و معروف ترین آنها الاینر شفاف یا اینویزالاین می باشد.
الاینرهای شفاف نوعی از ارتودنسی است که از جنس پلاستیک شفاف بوده و اطراف دندان را محکم دربر می گیرد و با حرکات تدریجی دندان ها برای رسیدن به موقعیت ایده آل بر روی آن ها برنامه ریزی شده است.
نوع ارتودنسی که در مجموعه دندانپزشکی دکتر داجلیری ارائه میگردد ارتودنسی شفاف میباشد.
سیستمهای نوین الاینرهای شفاف جدیدترین تحول در درمانهای ارتودنسی هستند که نیاز این بخش از دندانپزشکی را به براکتهای معمول یا همان براکتهای سیم دار تا حد زیادی مرتفع کرده است.استفاده از این نوع درمان به مرور زمان جای خود را در دیگر درمانهای ارتودنسی نیز باز کرده است.
از مزایای دیگر الاینرهای شفاف میتوان به موارد زیر اشاره کرد:
- طراحی دیجیتال و سریع
- قابل پیش بینی بودن پایان درمان
- آنالیز و طرح درمان به کمک نرم افزارهای کامپیوتری
- عدم نیاز به قالب گیریهای مکرر
- استفاده از قالبهای شفاف که به زیبایی بیمار کمک بسزایی میکند





مراحل انجام ارتودنسی با الاینر شفاف
مراحل انجام ارتودنسی نامرئی به ترتیب زیر انجام میشود:
- گرفتن عکس های دقیق از فک و دندانهای بیمار و بررسی عکسها توسط متخصص ارتودنسی
- قالب گیری از دندانهای بیمار (که عموما به وسیله یک پرینتر سه بعدی صورت می گیرد)
- به وسیله یک نرم افزار مخصوص ارتودنسی، حرکتهایی که برای مرتب شدن دندانها لازم است به آنها می دهند.
- سپس وضعیت نهایی را با وضعیت اولیه دندانهای بیمار مقایسه می کنند و مقدار جابجایی که برای مرتب شدن هر دندان لازم است اندازه گیری می کنند.
- درست کردن تعدادی الاینر شفاف که بتوانند به همان میزانی که لازم است دندانها را حرکت دهند (مثلا 0.3 میلی متر)
- اگر قرار است طی 12 مرحله مرتب شدن دندانها انجام شود، به بیمار 12 عدد الاینر شفاف تحویل می دهند.
- بیمار هر یک از پلاک ها را به مدت یک الی دو هفته (22 ساعت در شبانه روز) استفاده می کند.
چرا ارتودنسی با الاینر شفاف؟
برخلاف روشهای سنتی، در ارتودنسی شفاف نیازی به سیمها و براکتهای فلزی نیست.
این روش ایدهآل برای افرادی است که نمیخواهند تجهیزات ارتودنسی در ظاهر مشخص باشند.
با استفاده از پلاکهای شفاف و بدون رنگ که به تدریج به بیمار داده میشود، دندانها به سرعت و بهطور مرتب در جای خود قرار میگیرند.
رفع بههمفشردگی دندانها.
اصلاح فاصله زیاد بین دندانها.
اوربایت و اورجت: در این حالت، دندانهای فک بالا جلوتر از دندانهای فک پایین قرار میگیرند.
کراس بایت: همراستا نبودن فکها باعث میشود که برخی از دندانهای فک بالا پشت دندانهای فک پایین قرار بگیرند.
جلوگیری از برگشت جزئی به حالت اولیه
ارتودنسی شفاف در رشت
خبر خوب برای کسانی که تمایلی به استفاده از ارتودنسی فلزی سنتی ندارند: ارتودنسی شفاف با جدیدترین متدهای روز دنیا و استفاده از قالبهای پلاستیکی فشرده، راحت و موثر است.
در مجموعه دکتر سعید داج لیری میتوانید ارتودنسی نامرئی در رشت را با شرایط پرداخت ویژه انجام دهید. و از وام دندانپزشکی 200 میلیون تومانی در رشت استفاده کنید.
ارتودنسی شفاف یا سنتی، کدام یک بهتر است؟
در مقاله بالا ، با مقایسه این دو روش، به شما کمک میکنیم بهترین انتخاب را داشته باشید.
انواع ارتودنسی نامرئی
ارتودنسی نامرئی ثابت
ارتودنسی سرامیکی یکی از انواع ارتودنسی ثابت است که در آن بهجای استفاده از سیمهای فلزی، از براکتهای سرامیکی شفاف استفاده میشود. این براکتهای سرامیکی به ارتودنسی نامرئی در رشت امکان میدهند تا بیمار در طول دوره درمان ظاهری طبیعی و زیبا داشته باشد.
از مزایای ارتودنسی سرامیکی میتوان به بهبود ظاهر لبخند بیمار اشاره کرد. در برخی موارد، دکتر سعید داج لیری توصیه میکند که این دو روش (ارتودنسی سرامیکی و فلزی) ترکیب شوند، به این شکل که برای چهار دندان جلویی از براکتهای سرامیکی استفاده شده و برای دندانهای دیگر براکتهای فلزی به کار گرفته شوند. همچنین، برای ایجاد ظاهری کاملاً طبیعی در ارتودنسی بدون سیم، ممکن است از سیمهای شفاف نیز استفاده شود که موجب میشود بیمار حتی با ارتودنسی ثابت نامرئی نیز لبخندی زیبا داشته باشد.

ارتودنسی نامرئی متحرک (کلیر الاینر)
ارتودنسی کلیر الاینر یا ارتودنسی اینویزیبل یکی از جدیدترین و پیشرفتهترین روشهای ارتودنسی در دنیا است که در مطب دکتر سعید داج لیری در رشت نیز با بهترین کیفیت انجام میشود. در این روش، قالبهای پلیمری نرم و شفاف بر روی دندانها قرار میگیرند تا بهتدریج دندانها را اصلاح کنند. هر ۶ تا ۸ هفته (بسته به تشخیص پزشک) قالب جدیدی به بیمار داده میشود تا حرکت دندانها بهطور دقیق ادامه یابد.
ارتودنسی کلیر الاینر نهتنها کمترین میزان درد را دارد بلکه بهترین ظاهر را نیز ارائه میدهد. اما باید توجه داشت که برای ناهنجاریهای شدید دندانها، این روش مناسب نیست. همچنین، هزینه ارتودنسی نامرئی بیشتر از روشهای دیگر است زیرا نیاز به تهیه قالبهای متعددی دارد. اما با وجود این، امکان پرداخت اقساطی در رشت توسط دکتر سعید داج لیری فراهم شده است.
در کنار ارتودنسی شفاف در رشت، این مطب کلیه خدمات دندانپزشکی به خصوص خدمات ایمپلنت قسطی را نیز ارائه میدهد.
ارتودنسی نامرئی با دکتر سعید داج لیری در رشت
اگر به دنبال یک لبخند زیبا و بدون سیمهای مزاحم هستید، ارتودنسی نامرئی با دکتر سعید داج لیری در رشت بهترین انتخاب برای شماست.
متخصص ارتودنسی رشت ( نامرئی)
دکتر داج لیری با استفاده از جدیدترین تکنیکهای ارتودنسی نامرئی، به شما کمک میکند تا دندانهای خود را بدون براکتهای فلزی و بهطور نامحسوس مرتب کنید. با این روش، میتوانید در طول درمان از زیبایی طبیعی لبخند خود لذت ببرید و بدون نگرانی از تغییرات ظاهری، به دندانهای مرتب و سالم دست یابید. ارتودنسی نامرئی در مطب دکتر داج لیری بهصورت اقساطی نیز ارائه میشود.
جهت مشاهده روند درمان با ارتودنسی شفاف میتوانید به اینستاگرام دکتر سعید داج لیری مراجعه نمایید.
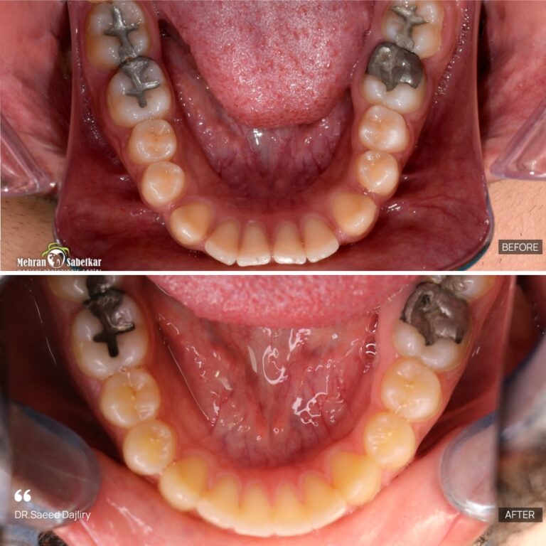
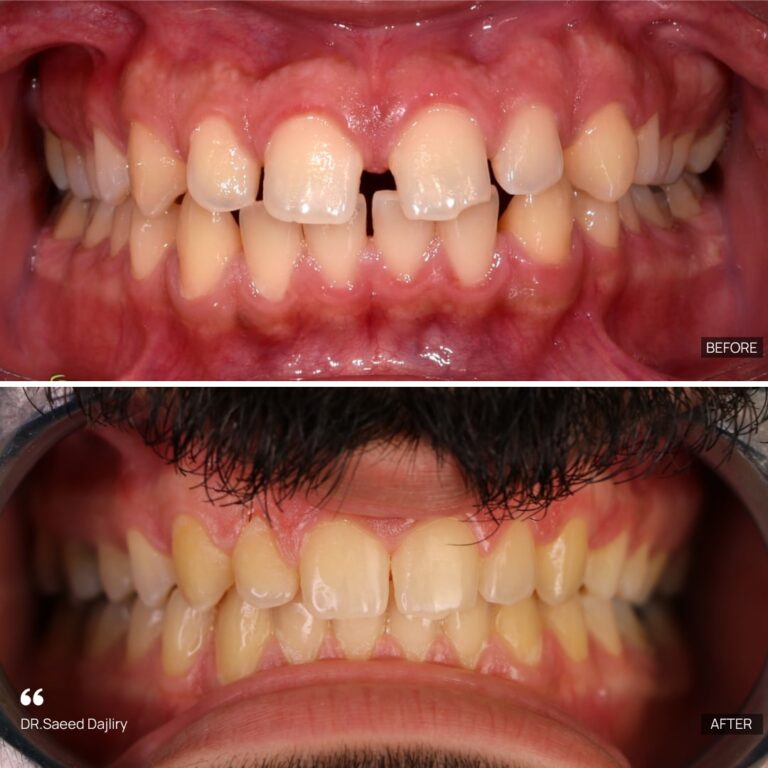
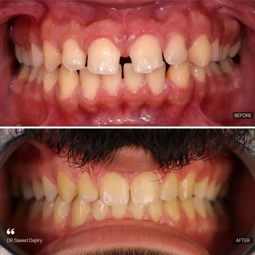
نمونه درمان ارتودنسی نامرئی در رشت در مجموعه دندانپزشکی دکتر داج لیری
هزینه ارتودنسی نامرئی در رشت چقدر است؟
به طور کلی هزینه ارتودنسی به عوامل مختلفی بستگی دارد. برخی از این عوامل عبارتند از:
- نوع نامرتبی و شدت آن (جزئی، متوسط و شدید)
- سن و سال بیمار
- روش درمان
- مدت زمان درمان
- فاکتورهای مرتبط با متخصص ارتودنسی (تخصص، تجربه،مهارت و ….)
بر اساس این عوامل هزینه ارتودنسی نامرئی (انواعش) متغییر است.
رعایت بهداشت در ارتودنسی
حفظ بهداشت دهان در طول درمان ارتودنسی بسیار مهم است، زیرا تجهیزات ارتودنسی تمیز کردن دندانها را دشوارتر کرده و احتمال پوسیدگی را افزایش میدهند.
تمیز کردن دندانها:
بیماران باید بیشتر مسواک بزنند و از مسواکهای کوچک مخصوص برای پشت سیمها و براکتها استفاده کنند. یادگیری استفاده از نخ دندان نیز ضروری است.
مراقبت از الاینرها
بهداشت دستگاههای متحرک و ثابت:
دستگاههای متحرک را قبل از غذا خارج کرده و بهخوبی تمیز کنید. برای دستگاههای ثابت، مراقبت از براکتها ضروری است تا از تجمع باکتریها و پوسیدگی جلوگیری شود.
تغذیه:
بیماران باید از خوردن مواد سفت و چسبنده که ممکن است باعث آسیب به براکتها و سیمها شود خودداری کنند تا روند درمان طولانی نشود.
سوالات متداول
چه کسانی میتوانند از ارتودنسی نامرئی استفاده کنند؟
ارتودنسی نامرئی گزینهای عالی برای افرادی است که نمیخواهند براکتهای ارتودنسی روی دندانهایشان دیده شود. این روش با استفاده از انواع ارتودنسیهای ثابت و متحرک نامرئی، به طور موثری مشکلات دندانی را برطرف میکند.
هزینه ارتودنسی نامرئی در مقایسه با ارتودنسی معمولی چقدر است؟
ارتودنسی نامرئی معمولاً هزینه بیشتری نسبت به ارتودنسیهای سنتی دارد. برای مثال، ارتودنسی سرامیکی همرنگ دندان گرانتر از ارتودنسی فلزی است. همچنین، ارتودنسی با الاینرهای شفاف به دلیل نیاز به چندین الاینر، هزینه بالاتری دارد.
آیا امکان بازگشت درمان پس از ارتودنسی نامرئی وجود دارد؟
در صورت اجرای صحیح طرح درمان، پس از تکمیل دوره درمان با ارتودنسی نامرئی، استخوانهای اطراف دندانها ثابت شده و امکان بازگشت وجود نخواهد داشت. پس از درمان، نیازی به استفاده مادامالعمر از الاینرها نیست.
آیا ارتودنسی نامرئی باعث پوسیدگی دندان میشود؟
از آنجا که الاینرهای نامرئی شفاف بوده و قابل جدا شدن هستند، بیمار میتواند به راحتی دندانهای خود را تمیز کند. این امر از تشکیل پلاک و جرم دندانی جلوگیری میکند و ریسک پوسیدگی را کاهش میدهد.
آیا ارتودنسی نامرئی چهره را تغییر میدهد؟
یکی از مزایای اصلی ارتودنسی نامرئی، عدم تأثیر منفی بر ظاهر است. با مرتب شدن تدریجی دندانها، چهره بیمار بهبود یافته و تغییرات مثبتی در پایان درمان مشاهده میشود.
چند ساعت در روز باید از الاینرهای نامرئی استفاده کرد؟
برای دستیابی به بهترین نتیجه، لازم است الاینرهای نامرئی را روزانه بین 20 تا 22 ساعت استفاده کنید. تنها در زمان خوردن و آشامیدن میتوانید الاینر را بردارید و بلافاصله پس از غذا خوردن، مجدداً آن را بر روی دندانها قرار دهید.
روند تغییرات برخی از کیس های ارتودنسی شفاف رو در میانه راه درمان در عکس های زیر مشاهده میکنید